목차
흉부 CT, 저선량흉부 CT, 폐 CT 여러 용어로 설명되는 가슴 부위의 CT에 대하여 최대한 알기 쉽게 설명드리겠습니다.
흉부 CT 종류
폐(가슴) 부위의 진행되는 CT 검사의 종류는 크게 두 가지로 나눠지고 방사선피폭량에 따라 구분됩니다.
- 저선량흉부 CT : 일반적으로 건강검진의 목적으로 진행하는경우 이 검사로 하게 되어지며 저선량폐암CT라고도 불려집니다. 검사명으로 나타나듯이 최소한의 방사선량을 통하여 검사를 진행하는 방식입니다.
- 고해상도 CT : 건강검진 목적이 아닌 질환 진단의 목적으로 진행하는 경우 선택되어지며 HRCT(High Resolution ct)라고도 불려집니다. 검사명으로 나타나듯이 진단가치를 높이기 위해 고해상도로 검사가 진행됩니다.
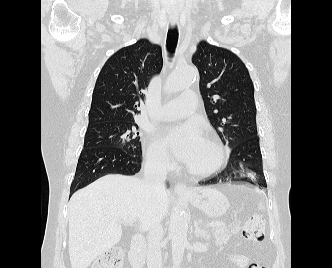
흉부 CT의 진단
다양한 질환을 진단하는 데 사용되며 시각화된 영상을 통해 쉽게 병변을 진단할 수 있기 때문에 많은 장점이 있습니다. 어떤 질환 진단을 할 수 있는지 알아보겠습니다.
- 폐암
- 폐결절
- 폐쇄설 폐질환
- 호흡기 질환
- 폐렴
- 폐색
- 폐부종
- 폐색성 혈전증
- 폐쇄성 폐색증
- 폐기종
- 폐동맥 협착증 등
폐 전반의 모든 질환을 쉽게 관찰할 수 있기 때문에 폐 질환의 진단과 치료에 매우 중요한 역할을 하고 있습니다.

저선량 CT와 고해상도 CT 비교
| 구분 | 저선량 흉부 CT | 고해상도 흉부 CT |
| 검사부위 및 검사방법 | 동일 | 동일 |
| 검사 비용 | 동일 | 동일(흉부 조영제 CT 검사 별도) |
| 영상 화질 | 진단에 필요한 최소한의 영상 화질 | 고화질의 영상 구현 |
| 방사선 피폭량 | 약 1~2 mSv | 약 7~10 mSv |
| 조영제 검사 가능여부 | X | O |
흉부 CT검사는 기본적으로 특별한 준비 없이 진행가능 하며 검사과정에서 CT 장비 위 침대에 바로 누운 자세에서 진행됩니다. 저선량 흉부 CT와 고해상도 흉부 CT의 검사방법은 같습니다.
두 검사의 특징은 방사선 피폭량의 따라 결정되는데 일반적으로 건강검진의 용도로 하는 저선량 흉부 CT는 최소한의 방사선 노출로 진단에 꼭 필요한 질병을 진단할 수 있는 게 장점이며 고해상도 CT의 경우는 선명한 화질로 질환정보를 자세히 확인하는 게 주목적입니다. 그렇기 때문에 피폭량의 차이가 발생하며 고해상도 흉부 CT의 경우 조영제 검사의 필요성에 따라 피폭량이 높아질 수 있습니다.
흉부 조영제 CT 검사
조영제를 통해 혈관 및 조직의 구조를 상세히 파악할 수 있어 폐혈관, 심장 및 대동맥의 혈관질환, 폐전이, 폐동맥 협착증, 폐쇄성 폐질환을 진단하는데 큰 도움이 됩니다. 그러나 조영제 부작용이 있을 수 있으므로 검사 전 금식과 전처치가 필요합니다.
결론
일반적으로 흉부의 불편감 없이 건강검진의 목적으로 흉부 CT를 하게 된다면 방사선 노출의 큰 걱정 없이 저선량 흉부 CT로 검사를 하시면 되겠고 호흡기관의 이상으로 내원하여 질환 검사를 목적으로 하는 검사의 경우는 고해상도 CT검사를 통해 진행하게 됩니다. 환자분들의 특별한 선택이 필요하지 않으며 전문의에 판단하여 결정되는 부분이기 때문에 걱정 없이 검사를 받으시면 되겠습니다.
CT의 경우 건강보험 적용을 받기 때문에 의료기관마다 차이가 있겠지만 약 10만 원 정도 선에서 검사가 진행되기 때문에 검사 비용대비 얻는 진단가치가 높다고 생각됩니다. 하지만 건강검진 목적으로 너무 잦은 검사는 오히려 방사선피폭이 발생하기 때문에 폐암 위험성이 높아지므로 적절한 기간을 두고 검사를 진행하시길 추천드립니다. 꼭 CT가 아니더라도 다른 검사를 통해 검진이 가능하므로 병원을 내원하셔서 상담받아보시길 바랍니다.
'의료 복지' 카테고리의 다른 글
| 부정맥 증상 부정맥 치료에 대해 알아보자 (0) | 2023.05.17 |
|---|---|
| 알레르기 비염약 지르텍 자세히 알아보자 (0) | 2023.05.16 |
| 알콜성간경화 알콜성지방간 알콜중독자가진단 통해 예방하자 (0) | 2023.04.18 |
| 공황장애 증상 및 치료방법 약물치료 (0) | 2023.04.13 |
| 간경화 초기증상과 진행과정 (0) | 2023.04.10 |
댓글